「我想要滿版的笑容!」專屬你的客製化治療
「我想要笑容滿滿的!牙齒要滿滿的!」— 貼片治療案例分享
▪︎ 原生陶瓷貼片:自然微笑曲線與齒列縫隙的改善
𖡡 治療前|治療前齒縫過大、容易有空洞看到舌頭
before - 這位患者在療程前遇到的牙齒問題與困擾:
齒列間有明顯縫隙,笑起來容易露出空洞甚至看到舌頭
牙齒的形狀與大小比例略顯不協調
缺乏自然的微笑曲線弧度
齒色偏黃,整體不夠明亮有神
before|齒縫較大、齒形不佳、無微笑曲線
before|齒縫較大、齒形不佳、無微笑曲線
由於上排的正門牙形狀較平直且狹長,側門牙則是偏短小,因此從正面看時會有明顯的牙齒型態落差,在上下齒列之間形成了較大的縫隙,微笑時的外觀上會有空洞、容易看到舌頭的困擾;也會覺得原本的笑容齒列輪廓較為尖窄、不夠圓順飽滿與立體。而牙齒顏色偏黃、較為暗淡,也是患者非常在意的地方。
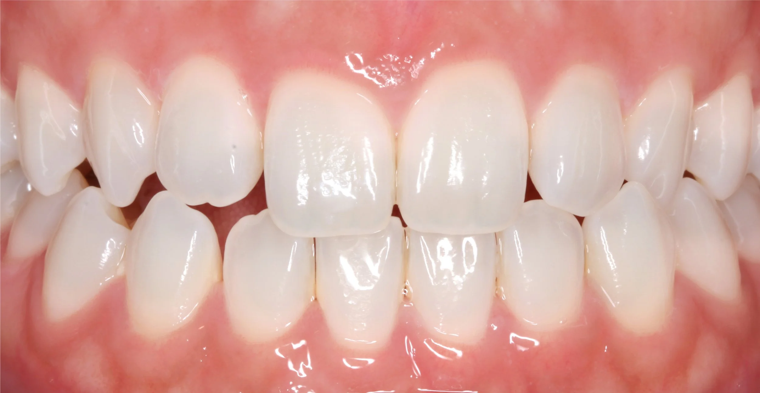
𖡡 治療後|治療後獲得全新、飽滿的原生笑容
after|原生貼片重建全新牙齒型態
after|原生貼片重建全新牙齒型態
患者在接受微笑設計評估後,我們透過原生陶瓷貼片為她量身打造了專屬方案,美學設計團隊特別保留了她個人標誌性的門牙特色,同時優化牙齒形狀與比例,使牙齒型態與排列更加整齊一致,齒縫問題同時也獲得改善,整體笑容更飽滿自然。
療程成果本院與患者都相當滿意,不僅大幅提升了外觀質感,也保留了個人獨有的自然氣質。
患者每次回診總是笑著跟我們說:
「這就像原本的牙齒一樣自然,看起來像真牙,用起來也跟真牙沒有差別!」
「整個治療過程中幾乎只都躺著聽音樂,根本是來這裡放空的吧,真的很輕鬆!」
「我就是要這樣滿版的笑容,院長真的給我了!真的很開心、很值得!」
最後,她也帶著笑容補了一句:「可以拜託院長幫我把下排牙齒也完成嗎?」
在薇光御境,我們相信每一張笑容都值得被更細緻地呈現。原生陶瓷貼片,從設計、比色到堆瓷,都是專業與美學的交會,讓你遇見更自然、更自信的自己。
薇光御境(裕見美)陶瓷原生貼片特色
.獨家堆瓷工藝技術打造絕佳自然齒色
.獨立為每位患者設計黃金微笑曲線
裕見美牙醫專科診所|薇光御境美學中心
療程項目:HAUTE高級訂製原生貼片
主治醫師:黃裕新總院長

